Skip to main content Accessible Version
Cosmetic Dentistry Tarzana, CA
We Create Beautiful Smiles

With cosmetic dentistry, we can help you achieve the bright, fresh, and symmetrical smile you've always wanted.

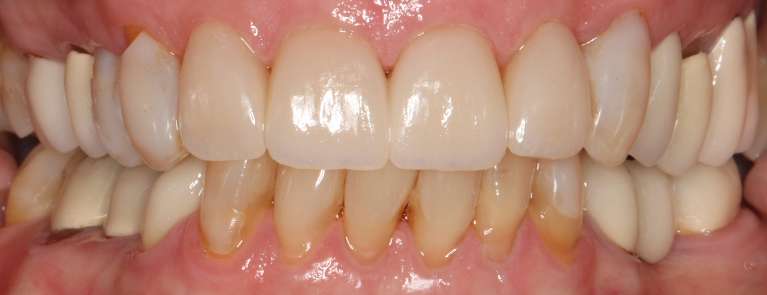
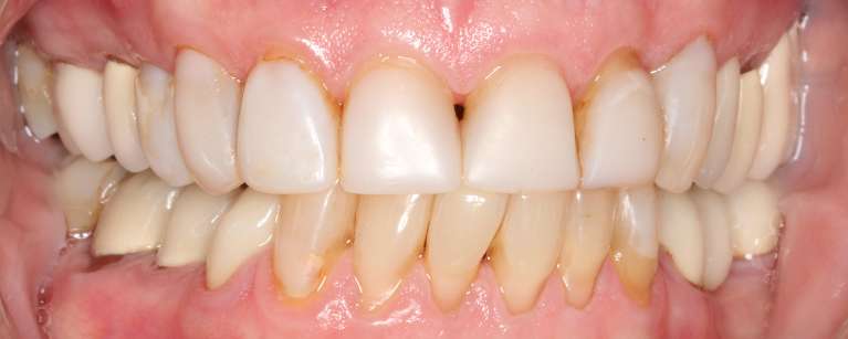
Cosmetic Dentistry
We Can Help You Discover Your Best Smile
Book an Appointment

Cosmetic Dentistry Tarzana, CA

Your smile is such an integral part of who you are that even minor aesthetic flaws can impact your confidence and self-esteem. Dr. Nargiz Zadeh is a skilled cosmetic dentist in Tarzana who helps her patients achieve beautiful, flawless smiles—even if they weren’t born with one.

We’re Passionate about Beautiful Smiles

Cosmetic DentistryIt requires an understanding of the science and artistry of cosmetic dentistry to provide a natural-looking smile makeover, and Dr. Zadeh is passionate about both. Our goal is a smile makeover where no one notices your dentistry but instead sees a beautiful, subtle improvement in your general appearance and confidence.

To help you attain these kinds of results, you and Dr. Zadeh will work together to develop a treatment plan that fulfills your vision for your smile. She will perform an evaluation, listen to your desires, and make expert recommendations.

Cosmetic Dentistry for All Needs

The art and science of cosmetic dentistry have been evolving rapidly. We are constantly impressed by the latest materials and techniques that help us achieve our patients’ goals for a flawless, confident smile.

With her meticulous attention to detail, Dr. Zadeh can help resolve any imperfection that detracts from your beautiful smile:

  • Chipped, cracked, or broken teeth
  • Crooked or crowded teeth
  • Gaps and uneven spacing between teeth
  • Stained, discolored, or yellow teeth
  • Teeth that appear too large or too small
  • Poorly proportioned teeth

Dental Bonding for Minor Smile Flaws

Teeth are incredibly durable but not indestructible. If you chip a tooth or want to close a small gap in your smile, dental bonding is an excellent solution. We use tooth-colored filling material to fill in and reshape your teeth, and the result is a seamless repair and a flawless smile.

Veneers Transform Your Smile

Cosmetic DentistryVeneers are an ideal solution for Tarzana patients who have smile imperfections that go beyond what dental bonding can address. Veneers are thin shells of translucent ceramic that cover the front surfaces of teeth that show when you smile, and Dr. Zadeh can use one or more to transform your smile.

Frequently used to conceal broken or cracked teeth, dental veneers address gaps, spacing, and minor alignment issues. Using veneers, our cosmetic dentist can alter the size, shape, shade, or apparent position of a tooth for a flawless smile makeover.

Professional Teeth Whitening

If time and wear have taken their toll on the whiteness and brightness of your teeth, we offer Zoom! in-office teeth whitening for brilliant same-day results. If you have more time and want to achieve the brightest, longest-lasting results, we recommend customized Opalescence take-home whitening trays.

Invisalign Clear Braces

Straight teeth help create a more harmonious and balanced smile and are also better for your oral health. If you have considered straightening your teeth but don’t want metal braces, our Tarzana cosmetic dentist may recommend Invisalign clear aligners.

Invisalign is a discreet orthodontic treatment that is convenient to wear and addresses many of the same issues as traditional orthodontics.

Call Us to Schedule an Appointment

A beautiful smile helps you project confidence and lets your true personality shine through. Dr. Zadeh and her dental team take exceptional pride in the healthy and beautiful smiles they create and would love to help you achieve your aesthetic smile goals. Call our Tarzana dental office to schedule an appointment to get started.

 

A Testimonial From Deena, Dr. Nargiz I. Zadeh's Patient in Tarzana, CA

Cannot say enough about how great the staff is. Warm, knowledgeable and friendly - all of them. Also, felt very safe with the COVID precautions in place. Last - but absolutely NOT least - I have complete confidence in the care provided and treatment recommendations. Five stars in all aspects.

Frequently Asked Questions

Since everyone has a unique vision for their smile, a crucial part of treatment planning is listening carefully to your concerns. Some patients want a dramatic Hollywood-style makeover, while others prefer a few tweaks to bring out their smile’s natural beauty.

Whatever your goals are, Dr. Zadeh will create a treatment plan using one or more of the following services: 

  • Dental bonding
  • Tooth-colored fillings
  • All-porcelain dental crowns
  • Invisalign clear braces
  • Porcelain veneers
  • Teeth whitening

Cosmetic Dentistry in Tarzana, CA

Using cosmetic dentistry, we can alter and refine the shape, size, shade, and position of one or more teeth to create a more harmonious, symmetrical appearance. Tooth-colored fillings and dental crowns are often thought to be restorative, but they are so aesthetic that we often use them to repair broken, cracked, chipped, or gapped teeth. 

If you have mild to moderate tooth misalignment, we may be able to correct it with porcelain veneers or use Invisalign clear braces for more advanced treatment. For teeth that are stained, yellow, or discolored, we offer both in-office and take-home teeth whitening kits.

Schedule a Cosmetic Dental Evaluation

Dr. Zadeh and her dental team would love to meet with you to see how we can help you love your smile again. Please call to schedule an appointment for a cosmetic dentistry evaluation at our Tarzana dental office.

Cosmetic dentistry plays a big role in general oral health. Whenever we begin to plan any comprehensive treatment, we always start by planning the restoration of the upper six front teeth, if needed. These teeth not only serve as the cornerstone of an ideal functioning bite but also aid in dictating the length and width of the remaining teeth. Additionally, smile enhancement can play a big role in our emotional well being with direct links to improved self-esteem and self-confidence.

Cosmetic dentistry can be a type of restorative dentistry, but typically when we talk about restorative dentistry we refer to something that only restores overall oral health, without any emphasis on esthetics. Restorative dentistry is treatment that is necessary to prevent the spread of disease in the mouth that can be in the form of cavities, periodontal disease, acid erosion, etc. In comparison, cosmetic dentistry is often an elective treatment to change the appearance of the upper and/or lower front teeth.

If you want to change the appearance of your smile, but are not sure where to start, a cosmetic dentist can discuss treatment options with you. Today, we have the luxury of doing digital smile designs to allow patients to see what their future smile can look like.

Depending on the nature of the receding gums, a cosmetic dentist can present various options for you. These options can vary from doing minimal bonding to gum grafting with a Periodontist.

Meet Our Doctor:

Dr. Nargiz I. Zadeh

Dr. Nargiz Zadeh attended the A. T. Still University, Arizona School of Dentistry & Oral Health, where she received her Doctor of Dental Medicine (DMD) degree and a certificate in public health. Following graduation, she completed a residency program in Advanced Education in General Dentistry through NYU Lutheran, where she provided complex restorative care, including orthodontics, dental implants, and root canal therapy to the Navajo population at the Winslow Indian Health Center. Dr. Zadeh then completed the UCLA Aesthetic Continuum Education Program, where she advanced her knowledge of restoring teeth ...

Featured Blog Posts - Cosmetic Dentistry Tarzana, CA

March 20, 2026

Which Cosmetic Choice is Better: Bonding or Veneers?

Patients often inquire about ways to improve their smile, especially when a minor flaw begins to show. It's possible that a front tooth chipped years ago and has never looked the same since. Or maybe there's a stain that whitening treatments haven't been able to remove. Cosmetic dentistry can improve ...

September 22, 2025

Dental Implants vs. Bridges: Long-Term Benefits and Drawbacks

When it comes to replacing missing teeth, modern cosmetic dentistry offers numerous treatments to suit budget and lifestyle needs. Two of our most common tooth replacement options are dental implants and bridges.

Choosing between these treatments isn’t just about cost; we also consider long-term health, durability, and personal needs. Understanding ...

January 2, 2025

What Can I Expect During a Consultation for Veneers?

A consultation for dental veneers is an exciting first step towards achieving the smile you’ve always wanted. Knowing what happens during your initial appointment can be helpful if you're considering veneers. This blog walks through what you can expect when you visit our office to discuss veneers for the ...

Learn More about Cosmetic Dentistry in Tarzana, CA
Call Us Now