Crowns & Bridges Tarzana, CA
The goal of dentistry is to provide treatments that keep your teeth healthy for a lifetime, and we are getting closer every day. Thanks to the rapidly-evolving nature of dentistry, adults today can keep their teeth longer than ever before.
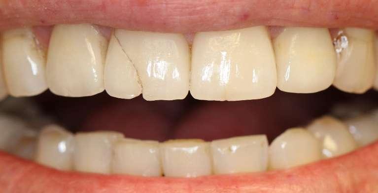
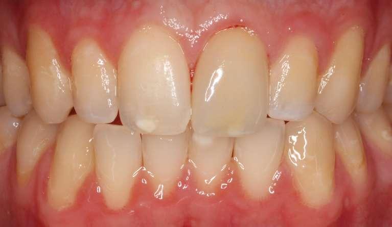
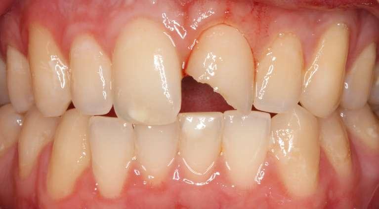
Of course, life doesn’t always go exactly to plan. Evidence of the daily wear our teeth are exposed to starts to show up in the form of cracked, broken, decayed, and missing teeth—all of which minimizes your ability to chew comfortably and smile confidently.
At the Tarzana dental office of Dr. Nargiz Zadeh, we know there's hope for every smile. Using dental crowns, bridges, inlays, and onlays, we focus on solutions that restore the health, beauty, and function of your smile.
Solutions for Broken and Missing Teeth

When planning treatment for broken and missing teeth, Dr. Zadeh considers all your health and wellness needs. Smile aesthetics are important, as is protecting your long-term oral health. But you can’t underestimate how teeth that function well and look healthy contribute to your quality of life.
If broken teeth make it difficult to chew comfortably, you may forego nutritious foods like fresh, crunchy vegetables that support excellent oral health. Missing teeth put demands on healthy remaining teeth that can cause excessive dental wear, fractures, and breakage.
Dental crowns and bridges restore comfortable chewing function, and most importantly, lets you confidently share your smile again.
Dental Crowns Protect Teeth
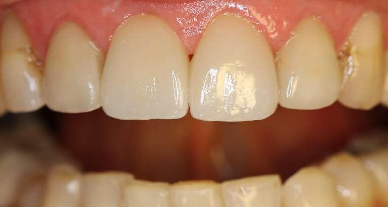
Also called “caps,” porcelain crowns are tooth-shaped shells of high-grade ceramic that fit over an entire tooth down to the gumline. The cap provides strength and protection by creating a durable new tooth surface that absorbs chewing forces.
Dr. Zadeh recommends dental crowns when:
- A cavity is too large to repair with a filling.
- A tooth already has multiple fillings.
- Broken or cracked teeth require additional support.
- A dental bridge requires the support of adjacent teeth.
Our Tarzana dentist would also recommend a crown to restore function and appearance to a dental implant and protect a tooth after root canal therapy.
Dr. Zadeh designs crowns using high-quality materials like all-porcelain, gold, and porcelain fused to metal. With her eye for symmetry and meticulous attention to detail—she carefully designs your new crown, and a custom dental lab fabricates the final restoration to our specifications.
Dental Inlays and Onlays
When a filling isn't sufficient to protect a tooth, but a crown is too much, our Tarzana dentist might recommend a dental inlay or onlay. Both are conservative alternatives to crowns because there's no need to alter the tooth's structure.
An inlay is an alternative to a direct tooth filling and protects a tooth where decay affects its upper surface.
A dental onlay is used when damage or decay extends to the cusps of a tooth.
Both inlays and onlays are similar to crowns and bridges because they are made by an outside dental lab.
Dental Bridges
Dental bridges replace one or two missing teeth in the same spot in your mouth. A bridge is a three-piece unit; a pontic or artificial tooth sits in the open space and a dental crown on either side to anchor it in place.
A bridge requires strong, healthy anchor teeth on either side of the gap to support the crowns. If they aren't, Dr. Zadeh will explain our other tooth replacements, like a partial denture or dental implant.
Please Call to Schedule an Appointment
Dr. Zadeh is pleased to provide high-quality dentistry to patients in Tarzana and the surrounding communities of Northridge, Woodland Hills, Encino, and beyond.
If you think you need a dental crown or bridge, please call (818) 456-0039 so we can schedule an appointment.
A Testimonial From Evelyn, Dr. Nargiz I. Zadeh's Patient in Tarzana, CA
Wow Dr Zadeh and staff really practiced customer and excellent patent care very professional superb
Service Dr. Zadeh is very sympathetic and listens...
I got there late and they still took the time to see me And evaluate my situation.
Fantastic Dentist Experience