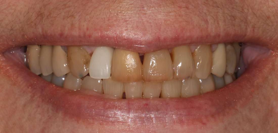
Restored teeth with tetracycline staining and old fillings with conservative veneers, preserving healthy tooth structure. Replaced missing front tooth with implant that seamlessly matches adjacent teeth.
Related Services:
Root Canals Tarzana, CAVeneers Tarzana, CA
Cosmetic Dentistry Tarzana, CA
Crowns & Bridges Tarzana, CA
Dental Implants Tarzana, CA
Emergency Dentistry Tarzana, CA
General Dentistry Tarzana, CA
Cosmetic Dentistry Encino, CA
Crowns and Bridges Encino, CA
Emergency Dentistry Encino, CA
General Dentistry Encino, CA