Accessible Version
Nargiz I. Zadeh, DMD
General, Cosmetic, and Implant Dentistry
Mon-Thurs 8am-5pm

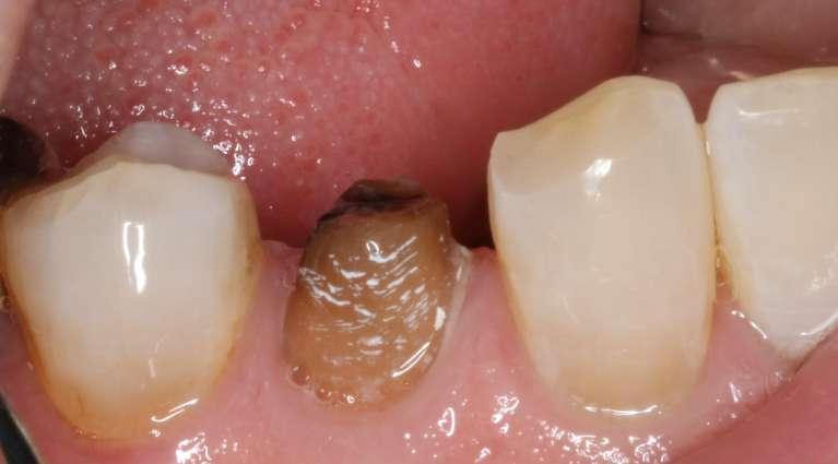
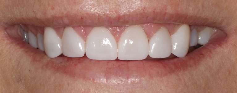
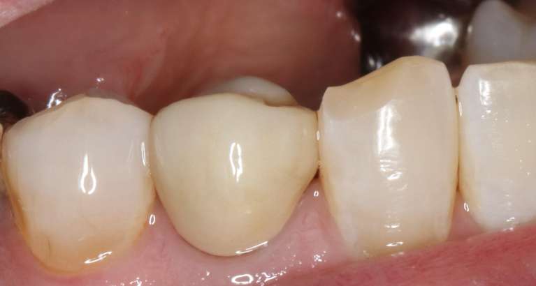
Smile Gallery: Crowns & Bridges Tarzana, CA

Depending on your dental needs, you may have a vision for your perfect smile or not be sure which services or treatments are right for you. Take a look through our smile gallery for inspiration, and then call us to schedule an appointment to get started.

Getting an appointment is fast and easy!
Any surgical or invasive procedure carries risks. Before proceeding, you should seek a second opinion from an appropriately qualified health practitioner.