Accessible Version
Nargiz I. Zadeh, DMD
General, Cosmetic, and Implant Dentistry
Mon-Thurs 8am-5pm

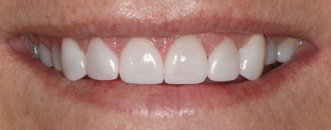
Veneers

Porcelain veneers on front six teeth to restore length to worn teeth, and as requested, to brighten the smile.

Improve your smile today – call to schedule a consultation!
Any surgical or invasive procedure carries risks. Before proceeding, you should seek a second opinion from an appropriately qualified health practitioner.